რა ვქნათ თავის ტკივილის, ყურებში შუილის და კიდურების შეშუპებისას? თავის ტვინის სისხლძარღვების ანგიოდისტონიის ნიშნები.

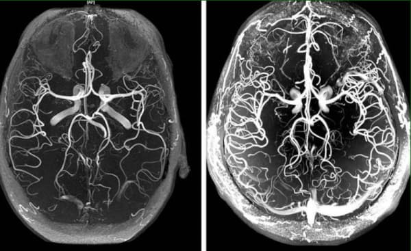
თავის ტვინის სისხლძარღვების ანგიოდისტონია – პათოლოგიური მდგომარეობაა, რომლის დროსაც ირღვევა სისხლძარღვების ტონუსი და თავის ტვინის ქსოვილებში სისხლის მიმოქცევა. ამ სტატიაში თქვენ შეგიძლიათ გაეცნოთ მის მიზეზებს, მექანიზმებს და სიპმტომებს, როდესაც სანგაშის ზარის ცემა არის საჭირო. ასევე, გაეცნობით ამ ვერაგი დაავადების საშიშ გართულებებს და მკურნალობის თანამედროვე მეთოდს, რომელიც ყველასათვის ხელმისაწვდომია.

თავის ტვინის სისხლძარღვების ანგიოდისტონია ახდენს გავლენას მთელი ორგანიზმის ქმედითუნარიანობაზე. თავის ტვინის სისხლით მომარაგების არასაკმარისი რაოდენობის გამო უარესდება ადამიანის ქმედითუნარიანობა, თავს იჩენს დაღლილობა, ხოლო ორგანიზმის მნიშვნელოვანი სისტემები ხარვეზებით იწყებს მუშაობას.

ცერებრალური ანგიოდისტონიის საწყისი სიმპტომებია:

  • თავის ტკივილი;
  • ხმაური ყურებში;
  • ზოგადი სისუსტე, მოთენთილობა, ძილიანობა;
  • დაბალი ქმედითუნარიანობა;
  • ძილის დარღვევა, უძილობა;
  • გულმავიწყობა;
  • კიდურების დაბუჟება;
  • შეშუპება ხელებსა და ფეხებში;
  • თვალებში დაბნელება;
  • ორგანიზმში ჰორმონალური დისბალანსი.
თავის ტვინის სისხლძარღვების ანგიოდისტონია წარმოადგენს ორგანიზმის სისხლძართვების ქოლესტერინით “დაბინძურების” - ათეროსკლეროზის - საწყის ნიშანს. თავის ტვინის სისხლძარღვები. თავის ტვინის სისხლძარღვებში სისხლის მომიქცევის მკურნალობის საფუძველს წარმოადგენს მთელი ორგანიზმის ძარღვების დაგროვებული დამაბინძურებული მასალისგან გაწმენდა. ესენია ქოლესტერინის ფირფიტები, თრომბები და კალციუმის გროვები.

რითი შეიძლება სახლის პირობებში სისხლძარღვების გაწმენდა?

სისხლის მიმოქცევის ნორმალიზაცია სისხლძარღვების გაწმენდა კომპლექსურია პროცესია. ის მოიცავს ორგანიზმის ყველა სისხლძარღვს და მრავალჯერ აუმჯობესებს სიცოცხლის ხარისხს.

გაიგეთ, როგორ გაიწმინდოთ სისხლძარღვები, მოიშოროთ ასობით “ქრონიკული” დაავადება და აღმოაჩნოთ სიცოცხლის დამატებითი 20 წელი ამ ვრცელ ინტევიუში.

  • რამდენად საშიშია თავის ტვინის სისხლძარღვების ანგიოდისტონია?
  • რა შედეგი შეიძლება მოჰყვეს სიმპტომების იგნორირებას?
  • რატომ არის სისხლძარღვების გამაფართოებელი საშუალებები მავნე?
  • რა კავშირია თავის ტვინის სისხლძარღვებს, ჭარბ წონას, სახსრებსა და პოტენციას შორის?
  • როგორ შეგვიძლია სისხლის მიმოქცევის აღდგენა და ძარღვების გამყარება დამოუკიდებლად?

ამ კითხვებს უპასუხა რადიოლოგმა, მედიცინის მეცნიერების დოქტორმა, პროფესორმა ეკატერინე ამოსოვა

ეკატერინე ამოსოვა დარწმუნებულია, რომ ადამიანის საშუალო ასაკის გაზრდა 89-93 წლამდე არის შესაძლებელი, თუკი მოხდება ხალხის მასიურად ინფორმირებულობა 40 წლის შემდეგ სისხლძარღვების გაწმენდის მნიშვნელობის შესახებ.

ქალბატონო ეკატერინე, რა სიმპტომებს უნდა მივაქციოთ ყურადღება პირველ რიგში?

თავის ტვინის სისხლმომარაგების დაღვევის პირველი სიმპტომებია:

  • ხმაური ყურებში, რომელიც უმიზეზოდ წარმოიქმნება
  • ლაქები თვალებში
  • ხელებსა და სახეზე დაბუჟების შეგრძნება
  • თავის ტკივილი საფეთქლისა და შუბლის არეში
  • წნევის მოულოდნელი ვარდნები (სხეულის მდგომარეობის სწრაფი ცვლილებისას თვალში დაბნელება, გულის წასვლა)
  • სიცივის შეგრძნება ტერფებსა და ხელის მტევნებში/li>

რა შედეგი შეიძლება მოჰყვეს სიმპტომების იგნორირებას?

– რა მოხდება, თუკი სისხლძარღვების “დაბინძურების” სიმპტომებს უყურადღებოდ დავტოვებთ და მხოლოდ გამოვლენილი დაავადებების მკურნალობას განვაგრძობთ?

- დაავადებები განაგრძობს პროგრესირებას, ყოველგვარი მედიკამენტური თერაპიის მიუხედავად. ჩვეულებრივი ტაბლეტები მათ მხოლოდ აყუჩებთ, შეიძლება პლასტიკურ ქირურგთან ვიზიტიც, მაგრამ მიზეზი არსად არ გაქრება.

რამდენადაც მეტი დამაბინძურებელი მასალა გროვდება ძარღვებში, მით უფრო მძიმე იქნება შედეგები. თავის ტვინის სისხლძარღვების საშუალო-მძიმე დაბინძრებისას ყველაზე ხშირად გვხვდება ინსულტი და სრული, ან ნაწილობრივი პარალიზაცია. რატომ არის სისხლძარღვების გამაფართოებელი საშუალებები მავნე?.

მართალია, რომ სისხლძარღვების გამაფართოებელ საშუალებებს უფრო მეტი ზიანი მოაქვთ, ვიდრე სარგებელი?

- დიახ. სისხლძარღვების გამაფართოებელი პრეპარატები გამოდგება ადგილობრივი გამოყენებისთვის. მათი ხშირი მოხმარება წარმოქმნის უზარმაზარ დატვირთვას სისხლძარღვების კედლებისთვის.

– სისხლძარღვები ისედაც იტანჯება დაგრორებული ქოლესტერინის ფენების მიერ, რომებიც შლიან ეპითელიუმის კედლებს და ათხელებენ მათ. სისხლძარღვების გამაფართოებელი პრეპარატები კი წელავენ სისხლძარღვებს, რაც კიდევ უფრო აწვება კედლებს. თუკი ასეთ დროს ძარღვი ვეღარ გაუძლებს დატვირთვას და გასკდება, წარმოიქმნება ინსულტი.

ამიტომაც, უმორჩილეს სიფრთხილეს ვურჩევ პაციენტებს სისხლძარღვების გამაფართოებელი პრეპარატების მიღებისას, და მხოლოდ გამოუვალ მდგომარეობაში.

როგორ აღვადგინოთ სისხლის მიმოქცევა და გავამყაროთ ძარღვები?

არის შესაძლებელი სისხლის მიმოქცევის აღდგენა და ძარღვების გამყარება დამოუკიდებლად?

– დიახ. ეს არ არის რთული პროცესი, მაგრამ საჭიროებს მოთმენასა და დისციპლინას. თუმცა, ეს მოთმენად ღირს და შედეგი აუცილებლად მრავალჯერ უკეთესი იქნება.

– ქირურგიისა და კარდილოგიის ცენტრში შეიმუშავეს უნიკალური პრეპარატი - ნუტრიცევტიკი «Cardialin». ამ პრეპარატს დღესდღეობით ანალოგი არ გააჩნია. Cardialin სრულიად უსაფრთხოა, არ აქვს გვერდითი ეფექტები და მისი მიღება ექიმის მიმართვის გარეშეც შეიძლება.

Cardialin წმენდს სისხლძარღვებს ყველა სახის ნივთიერებებისგან:

  • ქოლესტერინის ფირფიტებისგან
  • თრომბებისგან
  • კალციუმის მარილებისგან

Cardialin მიღების შედეგები:

Cardialin მიღების თვენახევრის შემდეგ სისხლის მიმოქცევა აღდგა 99,71% -ით.

სისხლის მიმიქოცევა აღდგება სისტემურად - ყველა სისხლძარღვში, არტერიასა და კაპილარში.

როგორ ახდენს Cardialin ორგანიზმზე ზემოქმედებას?

– Cardialin მოქმედებს 3 ეტაპად:

1. გამოდევნის ზედმეტ მასალას ძარღვებიდან

ანადგურებს ათეროსკლეროზულ ფირფიტებს, თრომბებს და კალციუმის გროვებს. 99,71%-მდე ზრდის სისხლძარღვების გამტარობას და აღადგენს სისხლის მიმოქცევას.

2. აქრობს ცუდი სისხლის მიმოქცევის შედეგებს

ქრება ან საფუძვლიანად მსუბუქდება ისეთი დაავადებები, როგორიცაა ჰიპერტონია, თავის ტკივილი, ვარიკოზი, თრომბოზი, ბუასილი, პროსტატიტი. ქრება ხმაური ყურებში, თავბრუსხვევა, დაბუჟებები, უმჯობესდება მხედველობა და გონებაც უფრო საღია. ნორმალიზდება წონა და ნივთიერებათა ცვლა.

3. ზრდის სისხლძარღვების კედლების სიმყარესა და ელასტიკურობას. ეს უზრუნველყოფს ახალი თრომბების წარმოქმნის პრევენციას და 11-ჯერ ამცირებს ინსულტის რისკს.

რამდენად ხშირად და რამდენი ხნის განმავლობაში არის Cardialin მიღება საჭირო?

5-7 წელიწადში ერთხელ, მამაკაცებში 40, ხოლო ქალბატონებში 45 წლიდან. კურსის სრული ხანგრძლივობა 2 თვეს შეადგენს, პაციენტის მძიმე მდგომარეობაში ყოფნის შემთხვევაში - 2 თვენახევარს.

მნიშვნელოვანია! კვლევებით დადგინდა, რომ ამჟამინდელი სეზონი საუკეთესო დროა მკურნალობის დასაწყებად. საშუალო ტემპერატურის სტაბილიზაცია უზრუნველყოფს ორგანიზმში ნივთიარებათა ცვლის პროცესების დაჩქარებას, იზრდება პრეპარატის მიღების ეფექტიც. მკურნალობის ხანგრძლივობა 37-ით უფრო სწრაფად მიმდინარეობს, ვიდრე წელიწადის სხვა დროს.

დეფიციტი და საშეღავათო პროგრამა

– Cardialin, რამდენადაც ვიცით, გაქრა აფთიაქების უმეტესობიდან, ხომ ასეა? რატომ? და როგორ შეიძლება მისი მიღება ახლა?

– სამწუხაროდ, ასეა. Cardialin ამ წლის დასაწყისიდან აღარ მოექოდება აფთიაქებს.

კონფლიქტის მიზეზი გახდა სააფთიაქო ქსელების სიხარბე, რომლებიც ითხოვდნენ Cardialin მწარმოებლებისგან ყოველი გაყიდული ერთეულიდან უზარმაზად კომისიას! ეს გამოიწვევდა საშინლად მაღალ ზედნადებს აფთიქების მიერ ისედაც წამატებულ ფასზე (ზოგიერთი აფთიაქი უკვე ათასობით დოლარად ცდილობდა პრეპარატის გაყიდვას).

მაგრამ, კარგი ამბავიც გაქვს - ჩვენი ინსტიტუტი, ერვნულ კვლევით ცენტრთან ერთად, იწყებს საშეღავათო პროგრამას.

ამ პროგრამის ფარგლებში ჩვენ ვაწყობთ პრეპარატის ფასდაკლებების გათამაშებას (გათამაშება სტატიის ბოლოშია მოცემული). ფასდაკლებების მიღება შეუძლია ნებისმიერ მსურველს, მაგრამ მისი გამოყენება შეუძლიათ მხოლოდ მათ, ვისაც პრეპარატი ნამდვილად ესაჭიროება. რაც ყველაზე სასიამოვნოა - ფასდაკლებები 100%-მდე აღწევს, ყველაზე იღბლიანებმა შესაძლოა ამ პრეპარატის 1 კოლოფი სრულიად უფასოდ მიიღონ!

– რამდენი ხანი გაგრძელდება საშეღავათო პროგრამა?

– აქცია გრძელდენა ჩათვლით. ყოველ ჯერზე თამაშდება 30 000 კოლოფი, რომლებიც 3-4 კვირაში იწურება. ესეც იმის გათვალისწინებით, რომ ტელევიზიასა და რადიოში არანაირი რეკლამები არ გვაქვს. ადამიანები აწვდიან ამ ინფორმაციას ერთმანეთს, უზიარებენ თავიან ოჯახის წევრებსა და ნათესავებს. ჩვენთვისაც კი მოულოდნელი იყო, როგორც სწრაფად გავრცელდა Cardialin შესახებ ინფორმაცია.

ამიტომაც, თუკი გაგიმართლათ და ასწრებთ ამ თარიღებში, გირჩევთ მიიღოთ გათამაშებაში მონაწილეობს, და შეუკვეთოთ Cardialin რაც შეიძლება მალე!

Დამატებულია 12 საათის წინ | სიახლე რედაქციისგან: Მნიშვნელოვანი სიახლე! ამჟამად პროგრამა მიმდინარეობს ჩათვლით. აქციის დასრულებამდე მსურველებს შეუძლიათ მიიღონ ორიგინალი რპეპარატი Cardialin 100%-მდე ფასდაკლებით! ამჟამად დარჩენილი სააქციო კოლოფების რაოდენობა: 5 ცალი

მნიშნველოვანია ! ერიდეთ ფალსიფიცირებულ პროდუქციას!

Cardialin მიღება შეგიძლიათ 10 - 100% ფასდაკლებით.

გათამაშება მიმდინარეობს ჩათვლით!

გახსენით ყუთი რომ მიიღოთ 100%-მდე ფასდაკლება!
100%

თქვენ გაქვთ 1 მცდელობა!
Კიდევ სცადე!

თქვენგან საჭიროა მხოლოდ, თქვენი სახელის და ტელეფონის ნომერის დაფიქსირება.
იჩქარეთ! დარჩენილი დრო:
10 : 00

*კურსის შეკვეთისას

გილოცავთ!

შეგიძლიათ მიიღოთ Cardialin უფასოდ

OK

განხილვა
127 მომხმარებელმა დატოვა 203 კომენტარი
  • ანა ხაბეიშვილი

    შევუკვეთე, ერთი სული მაქვს როდის მომიტანენ.

    23 საათის წინ
  • ელენე ბაღდავაძე

    რამდენადანაც ვიცი, შემდეგი თვიდან აპირებ რომ გაზარდონ ფასი, რომელიც ამჟამინდელზე ბევრად დიდი იქნება. ამას აპირებენ როგორც მინიმუმ აფთიაქები, რომლებსაც Cardialin შესყიდვა აქვთ გეგმაში.თუმცა, რამდენადაც ვიცი, აფთიაქებს ჯერ არ დაუწყიათ შესყიდვა და არ ვიცი ეს როდის იქნება.ამიტომ, ჯერ-ჯერობით ერთადერთი შესაძლებლობა Cardialin შეძენის ამ აქციის მეშვეობითაა შესაძლებელი ოფიციალურ საიტზე.

    22 საათის წინ
  • გულნაზი ალადაშვილი

    გეთანხმებით! ძალიან ეფექტური საშუალებაა წნევასთან პრობლემების მოსაშორებლად! კურსის შემდეგ სტაბილურად 120/80-ზე მაქვს

    19 საათის წინ
  • სერგი კაპანაძე

    დიდი მადლობა Cardialin შემქნელებს! მოვსინჯე და ნამდვილად შემიმსუბუქა მდგომარეობა. ვნახოთ, რა იქნება ერთ კვირაში, მოვიწერები აუცილებლად. თუმცა, უკვე ვგრძნობ წნევის გაუმჯობესებას. ვფიქრობ, ყველაფერი კარგად იქნება!

    18 საათის წინ
  • თამარ გიორგაძე

    არ იდარდოთ, გააგრძელეთ Cardialin მიღება. მთავარია რომ პრეპარატი ინსტრუქციის მიხედვით მიიღოთ.

    პატივისცემით, თამარ გიორგაძე

    17 საათის წინ
  • რომან ასათიანი

    ხალხო, დამეხმარეთ! დავიღალე უკვე წნევის ვარდნებით, დისკომფორტი და ტკივილები არ მასვენებენ, აღარც ვიცი, რა მოვიმოქმედო. რაც კი მივიღე, არაფერმა არ მიშველა.

    16 საათის წინ
  • გიორგი თავბერიძე

    სცადე Cardialin, ნამდვილად არ ინანებ. მეც უამრავი პრობლემა მქონდა წნევის გამო, მიკროინფარქტებამდე მივედი.მადლობა დედას, რომ ნახა Cardialin დამაწყებინა მისი გამოყენება. ვიყიდეთ ნახევარი წლის წინ, მაშინ არანაირი საშეღავათო კურსები არ იყო. სამაგიეროდ, ახლა საერთოდ არ მაქვს წნევის პრობლემები და მშვიდად შემიძლია ცხოვრება, დამიჯერე, გაიარა კურსი და შენც მშვენივრად იქნები!

    15 საათის წინ
  • თომა დურგლიშვილი

    როგორ შევინო Cardialin?

    15 საათის წინ
  • ივანე სიგუა

    გადადით ამ ბმულზე რომ შეიძინოთ Cardialin, მაგრამ იჩქარეთ, სანამ ჯერ კიდევ არის აქციაში. მე ძალიან დამეხმარა!

    14 საათის წინ
  • თომა დურგლიშვილი

    დიდი მადლობა, უვკე შეუკვეთე. დაახლოებით რამდენ ხანში ველოდო რომ მომაწვდიან ?

    12 საათის წინ
  • ივანე სიგუა

    საშუალოდ 2-3 დღეში მოაქვთ ხოლმე

    12 საათის წინ
  • სალომე ოჩხიკიძე

    შევუკვეთე ჩემი დისთვის 1-2 თვის წინ, დიდხანს ტანჯავდა წნევები. ნეტა იცოდეთ, როგორც მლოცა Cardialin როდესაც მივუტანე.

    10 საათის წინ
  • არსენ მეფარიშვილი

    ნუთუ ამდენად ეფექტურია? ჩემთვისაც შეუკვეთავ.

    10 საათის წინ
  • ეკატერინე მაჭავარიანი

    მეც მაქვს ამ პრეპარატზე გაგონილი, ჩემმა ერთ-ერთმა ნათესავმა შეიძინა ადრე. მეც თვითონაც პრობლემები მაქვს წნევის, სტატიამ კი გვარიანად შემაშინა. ვცდი აბა მეც ამ პრეპარატს.

    9 საათის წინ
  • მაგდა ჭანტურიძე

    მარტო მე არ მქონია ეს პრობლემები, მადლობა ღმერთს რომ ეს პრეპარატი ჯერ კიდევ ერთი თვის წინ ვნახე.დამეხმარა მომეშორებინა ჰიპერტონია, თანაც ასე სწრაფად აქამდე არცერთი წამალი არ დამხმარებია!

     

    9 საათის წინ
  • ლაშა ავალიანი

    ნამდვილად დამეხმარება? ვერცერთმა ექიმმა ვერ მიმკურნალა წესიერად.

    8 საათის წინ
  • ელენე კაკუტია

    ეჭვიც არ შეგეპაროთ. ეფექტი ძალიან მძლავრი აქვს და სრულიად უვნებელია ჯანმრთელობისთვის, ამიტომაც არ შეყოვნდეთ! Cardialin ძალიან დამეხმარა წნევის პრობლემების აღმოფხვრაში.

    8 საათის წინ
  • ირინა მშვილდაძე

    მადლობა, Cardialin ძალიან სწრაფად მიშველა! შეკუვეთე პირდაპირ მწამორბლის საიტიდან. არ დააყოვნოთ მკურნალობა, სჯობს მალევე მოიშოროთ ეს პრობლემა, ვიდრე გაგირთულდეთ საშინლად.

    7 საათის წინ
  • ნინო ბერუაშვილი

    მადლობა. თქვენ რომ არა, არ დავიჯერებდი ამ პრეპარატის ეფექტურობას! 5 წელზე მეტი ვცხოვრობდი მეუღლესთან რომელსაც საშინლად ტანჯავდა ჰიპერტონია. ახლა კი მშვენივრად დარბის, თითქოს ისევ 18 წლისაა.

    7 საათის წინ
  • მაია თურმანიძე

    შედეგმა ყვოელგვარ მოლოდინს გადააჭარბა! შევუკვეთე ჩემი დაქალებისთვისაც.

    7 საათის წინ
  • სოფო ურუმაშვილი

    ეს წამია რაც შევუკვეთე Cardialin და ჯერ კიდევ მოვხვდი აქციაში, იჩქარეთ თქვენც!

    5 საათის წინ
  • მარი თურმანიძე

    საშინლად მტანჯავდა წნევიანობა წლების განმავლობაში, Cardialin მეშვეობით სულ რაღაც 4 კვირაში უკვე ვგრძნობდი უკეთესობას, თუმცა ჯამში თითქმის 3 თვე მომიწია სრული მკურნალობა. ვერც კი წარმომედგინა, რომ ასეთი რამ შესაძლებელი იყო.

    4 საათის წინ
  • თამარ გიორგაძე

    აფთიაქები მაინც ცდილობენ ადამიანების ხარჯზე ჯიბეების გასქელებას. ჩვენ ყურადღებას ვაქცევთ იმას, თუ ვინ უკვეთავს და სად.

    პატივისცემით, თამარ გიორგაძე

    2 საათის წინ
  • ილია ხოფერია

    მეც შევუვკეთე ჩემთვის, გადასარევად მიშველა. თუკი გაწუხებთ წნევა - უაღრესად გირჩევთ, დამიჯერეთ - მოგიხსნით ყველა პრობლემას. თანაც, ძალიან მალე მოაქვთ, მე 3 დღეში მომიტანეს.

    41 წუთის წინ
  • ირინე კოდალაშვილი

    წავიკითხე სტატია და გადავწყიტე, მაშინვე შემეკვეთა. სამწუხაროდ, ჩვეულებრივი წამლები დიდად არ მშველის, როგორც მითხრეს ჰიპერტონია რთული სამკურნალოა. Cardialin მალევე ჩამომივიდა და პირველივე თვის შემდეგ შვებას ვგრძნობ, მკურნალობას განვაგრძობ, მაგრამ არ შემეძლო არ დამეწერა ამის შესახებ. დიდი მადლობა!

    21 წუთის წინ
  • ანი ჩუბინიძე

    უკაცრავად, სად შეიძინეთ ეს პრეპარატი? აფთიაქებში ვერსად ვპოულობ, ინტერნეტში ყიდვა კი მეშინია.

    17 წუთის წინ
  • თამარ გიორგაძე

    გაგიმეორებთ, Cardialin , შეგიძლიათ შეიძინოთ მხოლოდ ოფიციალურ საიტზე, სააქციო ფასდაკლებით, რომელიც მოქმედებს ჩათვლით, ამიტომაც იჩქარეთ! და ერიდეთ ფალსიფცირებულ პროდუქციას!

    პატივისცემით, თამარ გიორგაძე

    9 წუთის წინ
    აიღე მონაწილეობა გათამაშებაში